原西京/原交大二附院/原中心医院专家长期坐诊
新农合/医保定点机构
我们只相信疗效

您所在的位置: 首页 > 鼻部疾病 > 鼻甲肥大 > 经常鼻塞,头晕当心鼻咽癌!

经常鼻塞,头晕当心鼻咽癌!

来源:西安新城中大耳鼻喉医院 门诊时间:08:00-17:30
温馨提示:我院为西安新城中大耳鼻喉医院,非营利性医院,请患者放心就诊!

  [导读]鼻涕中带血、鼻塞、耳鸣等都可能是鼻咽癌早期症状,应及时到医院作进一步检查,鼻咽癌的发病年龄可以从二十岁就可以出现,到了四十岁以上就到了鼻咽癌的高发年龄。

  近两个月来,45岁的党大伯经常在清晨起床时出现鼻涕中带血丝,有时候还从口中回吸出带血的鼻涕。开始他以为是天气干燥引起的鼻出血,并没有太在意。但是,两个月下来,情况没有好转。于是,党大伯来到西安新城中大耳鼻喉医院耳鼻喉科就诊,医生给他做了鼻咽镜检查和病理检查,最后证实为鼻咽癌。经常流鼻血,头疼,鼻塞怎么办?是鼻咽癌吗?


 

  这个结果让党大伯十分吃惊,只是鼻涕带血而已,这种情况很多人都曾出现过,怎么就是鼻咽癌呢?

  专家表示:其实,这些容易被人们忽视的症状,如鼻涕中带血丝,从口中回吸出带血的鼻涕,往往是鼻咽癌的早期表现。经常流鼻血,头疼,鼻塞怎么办?是鼻咽癌吗?
 

  鼻咽癌不可忽视的早期迹象

  鼻咽癌的临床表现较多,早期主要有以下5个症状。对此,大家应该提高警惕。

  1、流鼻血

  涕血是鼻咽癌的早期症状,表现为鼻涕中带血,或表现为从口中回吸出带血的鼻涕,流鼻血常发生在早晨起床后。涕血量不多时,经常被患者疏忽,误认为是鼻炎或鼻窦炎,或被当作咯血到内科就诊。经常流鼻血会是鼻咽癌吗?点击专家咨询

  建议:注意和鼻炎或鼻窦炎区别
 

  鼻塞(单侧双侧都有)

  鼻塞是鼻咽癌另一个早期表现。大多表现为单侧鼻塞。当鼻咽肿瘤增大时,可能出现双侧鼻塞。经常鼻塞会是鼻咽癌吗?点击专家咨询

  建议:注意和鼻炎或鼻窦炎区别

  头痛(偏头痛或颅顶疼痛)

  初诊鼻咽癌时,大约70%的患者有头痛症状。鼻咽癌的头痛症状常表现为偏头痛、颅顶枕后或颈项部疼痛。鼻咽癌头痛大多与癌组织侵犯颅底骨质、神经和血管有关。

  建议:注意和鼻炎或鼻窦炎区别

  耳鸣、耳闷塞感、听力下降

  耳鸣、耳闷塞感及听力下降也是鼻咽癌的早期信号。该症状是由于鼻咽癌新生物堵塞患侧咽鼓管口所致。听力降低也可能是鼻咽癌进一步恶化损伤听力神经所致。耳鸣和听力下降常被误诊为中耳炎或是其他疾病,以致耽误治疗。经常耳鸣,耳闷会是鼻咽癌吗?点击专家咨询

  建议:注意和中耳炎或外耳道炎区别

  颈部淋巴结肿大

  不少鼻咽癌患者往往是自己无意中在脖子上触摸到“包块”而就医。这种“包块”其实是肿大的淋巴结。鼻咽癌患者的颈部淋巴结肿大,常被误诊为炎症。对于经消炎治疗无缩小,甚至持续迅速增大的颈部肿块,尤其是质地较硬、活动度差、多个互相融合成团的无疼痛颈部肿块,需要及时就诊。

  建议:和甲状腺炎相区别 


 

  专家提醒:如果出现以上5种表现的任一种症状,最好及时到医院耳鼻喉科就诊,以排除患鼻咽癌的可能。

  CCTV名家访谈专家告诫:鼻咽癌力争早诊早治

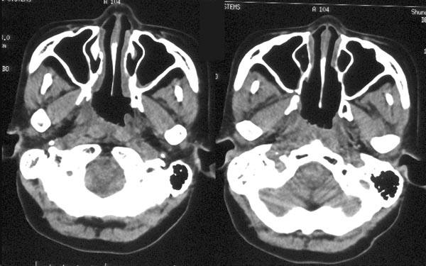
  CCTV名家访谈专家张全安教授表示:鼻咽癌检查手段包括间接鼻咽镜检查,鼻咽纤维镜检查、鼻咽部CT检查和MRI检查。病理检查是确诊鼻咽癌的最重要依据。CT可以把鼻咽癌给查出来,但是在拍片的过程中病灶如果被遮挡的话,CT就不可以把鼻咽癌诊断出来,所以说CT只是有可能会发现疑似病灶。 


 

  专家提醒:鼻咽癌发现越早,预后越好;发现越晚,治愈可能性越小,预后越差。也就是说,早诊早治,治疗后的存活率可以得到显著提高。因鼻咽部解剖位置特殊,手术操作困难,且鼻咽癌90%以上为低分化鳞癌,对放射治疗较敏感,手术及免疫治疗等辅助性治疗方法,也可在医生指导下使用。
 

文章内容有限,如果您还想了解更多疾病信息,可以点击咨询,也可以直接网上预约挂号。请注意:咨询建议不可作为诊断及医疗依据!

我要通话预约 点击网上咨询 24小时咨询电话:029-8740-1000

关于中大About Zhongda

西安新城中大耳鼻喉医院作为西北地区首家大型耳鼻喉专科医院,按三级医院标准建设,专业设置以耳鼻咽喉头颈外科为重点... 【详情】

医师风采Medical style

  • 张胜利 耳鼻喉主任

    擅长:擅长于各类耳鸣耳聋、中耳炎、鼓膜穿孔、鼻窦炎、鼻息肉、扁桃体炎、腺样... 【详情】

    医院门诊时间 8:00——17:30

  • 邓瑶珠 副教授 副主任医师

    擅长:原西京医院耳鼻咽喉科副教授,擅长神经耳科领域的研究,尤其在听功能障碍... 【详情】

    医院门诊时间 8:00——17:30

  • 刘大顺 博士/主任医师

    擅长:擅长各种鼻炎手术、鼾症手术及头颈部肿瘤手术治疗。尤其擅长慢性鼻窦炎的... 【详情】

    医院门诊时间 8:00——17:30

  • 来长荣 主任医师

    擅长:擅长耳显微外科和耳神经外科,致力于慢性中耳炎、周围性面瘫等多种耳鼻喉... 【详情】

    医院门诊时间 8:00——17:30

  • 胡逢春 耳鼻喉主任

    擅长:有扎实的理论基础及丰富的临床工作经验,且对各种耳鼻喉咽喉疑难杂症有着... 【详情】

    医院门诊时间 8:00——17:30

  • 裴玲玲 耳鼻喉主任

    擅长:对中西医结合治疗耳聋耳鸣、眩晕等疾病治疗有独到的见解。在耳聋、耳鸣、... 【详情】

    医院门诊时间 8:00——17:30

来院路线Hospital line

医院地址:西安市新城区北新街3号(革命公园往西200米)

版权所有:西安新城中大耳鼻喉医院  注:本网站信息仅供参考,不能作为诊疗及医疗依据,就医请遵照医生诊断。