原西京/原交大二附院/原中心医院专家长期坐诊
新农合/医保定点机构
我们只相信疗效

您所在的位置: 首页 > 耳部疾病 > 乳突炎 > “乳突有效治疗术”祛除中耳炎乳突炎,遏制听力下降

“乳突有效治疗术”祛除中耳炎乳突炎,遏制听力下降

来源:西安新城中大耳鼻喉医院 门诊时间:08:00-17:30
温馨提示:我院为西安新城中大耳鼻喉医院,非营利性医院,请患者放心就诊!

   乳突炎常继发于中耳炎,引起乳突粘膜充血及水肿,分泌物增多。继续发展可破坏气房间隔,甚至破坏乳突骨壁而向颅内、外穿破。乳突炎转为慢性后,乳突内充满肉芽和脓液,破坏骨质,刺激新骨增生,当鼓膜穿破后,外耳道上皮长入中耳及鼓窦,部分上皮坏死及变性后,形成胆脂瘤。
 

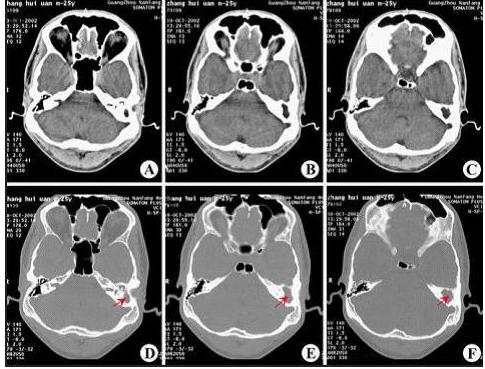
CT显示:左侧慢性中耳乳突炎(胆脂瘤型)
 

  目前,临床治疗推荐采用【乳突有效治疗术】配合鼓室成形术治疗中耳炎乳突炎。“乳突有效治疗术”是一种可以高效治疗中耳病灶和重建鼓室传音结构的手术。该手术是在显微镜下通过耳显微器械去除病变,同时修复鼓膜及重建听骨链,清除病灶,以达到提高听力的目的。与医生沟通中耳乳突炎病情,以确定好治疗方案。

    “乳突有效治疗术”治疗中耳炎乳突炎

  一般步骤与传统乳突有效治疗术相同,但根据病变程度不同有所变化。对于病变局限于上鼓室者,凿入鼓窦后可用小圆凿或电钻,由鼓窦入口外侧向前,除去上鼓室外侧壁至接近前壁为止,充分开放上鼓室,以小刮匙或细弯针将鼓窦入口外侧向前,除去上鼓室外侧壁至接近前壁为止,充分开放上鼓室,以小刮匙或细弯针将鼓窦入口及上鼓室病变组织或胆脂瘤完全清除。详细了解手术过程,可直接在线咨询…

  西安新城中大耳鼻喉医院的“乳突有效治疗术”可更高效治疗中耳炎及并发症,修复听骨链,重建听力,并且对患者的伤害很小,该方法的诞生为耳病患者带来了健康的福音,解决了治疗中耳炎难治难消的顽疾,获得了众多治疗患者的高度好评。
 

    首席手术医生:

      明尼苏达中耳炎科研中心医生——张全安教授简介

  主要职务

  ★原耳鼻咽喉科主任

  ★

  ★  明尼苏达中耳炎科研中心医生

  ★西安新城中大耳鼻喉医院耳科耳外科学科带头人


 
    与  明尼苏达耳鼻咽喉头颈外科主任Adama教授合影 

  个人简历: 

  1967年毕业于,从事耳鼻咽喉科临床、科研和教学工作40余年,积累了丰富而全面的临床经验,期间担任西安耳鼻咽喉科主任,;发表中、英文论文50余篇;获省市一、二等科技进步奖多项。1993年以来,以高级访问学者身份多次赴美从事科研和学术交流长达5年多;其中参与  明尼苏达中耳炎研究中心进行中耳炎病理研究,所提出的一系列中耳炎理论居前沿水平,领先地位。  

文章内容有限,如果您还想了解更多疾病信息,可以点击咨询,也可以直接网上预约挂号。请注意:咨询建议不可作为诊断及医疗依据!

我要通话预约 点击网上咨询 24小时咨询电话:029-8740-1000

关于中大About Zhongda

西安新城中大耳鼻喉医院作为西北地区首家大型耳鼻喉专科医院,按三级医院标准建设,专业设置以耳鼻咽喉头颈外科为重点... 【详情】

医师风采Medical style

  • 张胜利 耳鼻喉主任

    擅长:擅长于各类耳鸣耳聋、中耳炎、鼓膜穿孔、鼻窦炎、鼻息肉、扁桃体炎、腺样... 【详情】

    医院门诊时间 8:00——17:30

  • 邓瑶珠 副教授 副主任医师

    擅长:原西京医院耳鼻咽喉科副教授,擅长神经耳科领域的研究,尤其在听功能障碍... 【详情】

    医院门诊时间 8:00——17:30

  • 刘大顺 博士/主任医师

    擅长:擅长各种鼻炎手术、鼾症手术及头颈部肿瘤手术治疗。尤其擅长慢性鼻窦炎的... 【详情】

    医院门诊时间 8:00——17:30

  • 来长荣 主任医师

    擅长:擅长耳显微外科和耳神经外科,致力于慢性中耳炎、周围性面瘫等多种耳鼻喉... 【详情】

    医院门诊时间 8:00——17:30

  • 胡逢春 耳鼻喉主任

    擅长:有扎实的理论基础及丰富的临床工作经验,且对各种耳鼻喉咽喉疑难杂症有着... 【详情】

    医院门诊时间 8:00——17:30

  • 裴玲玲 耳鼻喉主任

    擅长:对中西医结合治疗耳聋耳鸣、眩晕等疾病治疗有独到的见解。在耳聋、耳鸣、... 【详情】

    医院门诊时间 8:00——17:30

来院路线Hospital line

医院地址:西安市新城区北新街3号(革命公园往西200米)

版权所有:西安新城中大耳鼻喉医院  注:本网站信息仅供参考,不能作为诊疗及医疗依据,就医请遵照医生诊断。